


上一篇我们对急性髓系白血病(AML)有了初步的认知,今天我们来聊一聊它的分型之一——急性早幼粒细胞白血病(APL)。
APL的概况
急性早幼粒细胞白血病(APL)是急性髓系白血病(AML)中的一种特殊类型, 形态学上属于FAB(法国、美国和英国)分型中的AML-M3亚型,这是唯一一个白血病细胞出现在早幼粒细胞阶段的AML亚型。APL具有的特征是17号染色体上维A酸受体α(RARα)和15号染色体上的早幼粒细胞白血病(PML)基因相互平衡易位,并产生致癌的PML-RARα融合基因1。APL约占AML的10%~15%,发病率约为0.23/10万。易见于中青年人,平均发病年龄为44岁2。经规范救治,完全缓解率(CR)达90%-94%,5年无病生存率(DFS)>90%1。
APL的临床表现与实验室检查
APL的典型症状为发热、胸骨压痛、皮肤黏膜苍白、皮肤出血点及瘀斑、肝脾轻度肿大、乏力等。APL患者一般都存在凝血功能异常的现象,确诊或疑似APL时应及时检查凝血功能,以便及早预防治疗严重出血3。
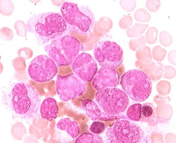
实验室检查主要包括血液检查和骨髓检查:
血液检查包括血常规、血型,外周血涂片,生化,DIC相关指标检查,输血前有关传染性病原学检查。APL患者的血红蛋白和红细胞呈不同程度降低,白细胞大多增高,外周血片可以找到异常早幼粒细胞。几乎所有APL患者都有血小板降低的表现3。
骨髓检查中以异常颗粒增多的早幼粒细胞增生为主,且细胞形态较为一致。典型APL表现为t(15;17)(q22;q12)。98%以上的APL患者存在PML-RARα融合基因,另有低于2%的APL患者为其他类型融合基因。检测PML-RARα融合基因是诊断APL的最特异、敏感的方法之一,也是APL治疗方案选择、疗效评价、预后分析和复发预测最可靠的指标4。
其他检查还有心电图、超声心动图(必要时)、胸片、腹部B超或CT(必要时)4。

APL治疗方案演变史
急性早幼粒细胞白血病(APL)曾经是一个恶性程度极高的血液疾病,因为治疗方案的不断优化,它逐步发展成一个高治愈率、预后最好的急性白血病。中国血液学专家在APL的治疗中具有里程碑式的贡献。
早期使用蒽环类药物联合阿糖胞苷(Ara-C)的化疗方案治疗APL,75%~80%的APL患者获得完全缓解。但化疗药物在杀灭白血病细胞过程中容易诱发和加重弥散性血管内凝(DIC),导致患者严重出血而死亡5。且患者平均缓解时间较短,2年DFS率只有 35%~45%6。
1988年,王振义院士率先应用全反式维A酸(简称维A酸)用于APL治疗并取得了巨大成功,维A酸的出现给APL的治疗带来了革命性的变革。维A酸与化疗联合可将CR率提高至 90%,总生存(OS)率达到80%5,但仍有5%~30%的患者复发7。
20世纪70年代,张亭栋教授等将含三氧化二砷的药物用于治疗白血病,特别是APL8。经过十几年的探索,陈竺院士等血液专家先后将三氧化二砷用于治疗初发和复发APL,CR率可达90%5。此后,维A酸联合三氧化二砷的方案开启了APL靶向治疗的先河并向国际推广,至今成为APL的主要治疗方案。

APL的主要治疗方案
危险分层是实现APL优化治疗的关键。维A酸联合化疗作为一线治疗模式下的预后分层9,包括低危:WBC≤10×109/L、PLT>40×109/L;中危:WBC≤10×109/L,PLT≤40×109/L;高危:WBC>10×109/L。另外一个分层是维A酸联合砷剂作为一线治疗模式下的预后分层10,包括低危:WBC<10×109/L和高危:WBC ≥10×109/L。
APL治疗相对复杂,对于低(中)危APL患者的治疗,首选维A酸+砷剂治疗方案4。其中,诱导治疗:维A酸+砷剂直到完全缓解(CR),治疗约1个月。巩固治疗:维A酸×2周,间歇2周,为1个疗程,共7个疗程。砷剂×4周,间歇4周,为1个疗程,共4个疗程。治疗约7个月。维持治疗:可有可无。对于APL的低中危患者,还有备选方案4,常规包括维A酸+砷剂+其他化疗治疗方案;当砷剂不耐受或无砷剂药品时,还有维A酸+其他化疗治疗方案。

高危APL患者的治疗有维A酸+砷剂+化疗诱导、化疗巩固、维A酸/砷剂交替维持治疗的方案4。其中诱导治疗:维A酸联合砷剂直到 CR;柔红霉素(DNR)或去甲氧柔红霉素(IDA) 第1~3天。巩固治疗(3个疗程)可选用HA方案、MA 方案、DA 方案、IA方案。达到分子学转阴后开始维持治疗。维持治疗:每3个月为1个周期,第1个月:维A酸×14天,间歇14天;第2、3月:砷剂×14天,间歇14天。完成8个周期,维持治疗期总计约2年。

对于高危APL患者,还有维A酸+砷剂+化疗诱导、维A酸+砷剂巩固、维A酸/6-MP/MTX维持治疗的方案。对于首次复发APL患者一般采用三氧化二砷±维A酸±蒽环类化疗进行再次诱导治疗。再诱导未缓解者可加入临床研究或行异基因造血干细胞移植4。如需详细了解可参考中华医学会血液学分会《中国急性早幼粒细胞白血病诊疗指南(2018版)》。

APL的预后
APL患者一般经过2年半左右的治疗,基本可以实现完全缓解,患者的预后优于任何其他类型的AML。达到完全缓解的APL患者由于复发风险低,在首次完全缓解后,就不需要依赖造血干细胞移植。
完成维持治疗后的APL患者第1年建议每3~6个月进行1次融合基因检测,第2年以后间隔6~12个月检测。APL长期生存患者随访中应关注治疗药物(包括蒽环类和砷剂)的长期毒性,包括心脏毒性和继发性第二肿瘤11。

总结
急性早幼粒细胞白血病曾一度被认为是人类最恶性和预后最差的白血病,但在世界各国血液病专家几十年的共同努力下,特别是在中国专家开创性使用维A酸和三氧化二砷,成功地将APL从一种致命性疾病转变为绝大多数患者都可治愈的疾病。
下一篇会和大家具体聊聊维A酸相关知识,敬请期待!
备注:部分图片来源于网络,如有侵权联系后立即删除
参考文献:
1.Wang ZY,Chen Z.Acute promyelocytic leukemia:from highly fatal to highly curable[J].Blood,2008,111(5):2505-2515.
2.中华医学会血液学分会.急性早幼粒细胞白血病中国诊疗指南(2011版)[J].中华血液学杂志,2011,32(12):885-886.
3.蒋慧.急性早幼粒细胞白血病检查和诊断[J].中国小儿血液与肿瘤杂志,2019,3:116-118.
4.中华医学会血液学分会.中国急性早幼粒细胞白血病诊疗指南(2018版)[J].中华血液学杂志,2018,39(3):179-183.
5.李军民,祝洪明.急性早幼粒细胞的治疗进展和目前存在问题[J].内科理论与实践,2015,10(1):1-7.
6.Degos L. The history of acute promyelocytic leukaemia[J].Br J Haematol, 2003,122(4):539-553.
7.Tallman MS. Treatment of relapsed or refractory acute promyelocytic leukemia[J]. Best Pract Res Clin Haematol,2007,20(1):57-65.
8.饶毅,黎润红,张大庆.中药的科学研究丰碑[J].科学文化评论,2011,8(4):27-44.
9.Sanz MA, Lo CF, Martín G, et al. Definition of relapse risk and role of nonanthracycline drugs for consolidation in patients with acute promyelocytic leukemia: a joint study of the PETHEMA and GIMEMA cooperative groups[J].Blood,2000,96(4):1247-1253.
10.Li JM, Chen L, Zhu HM, et al. Retinoic acid and arsenic trioxide with or without chemotherapy for acute promyelocytie leukemia with different risk stratifications: a interim analysis of China APL 2012 study[J].Blood(ASH Annual meeting),2016,128:445.
11.中华医学会血液学分会.急性早幼粒细胞白血病中国诊疗指南(2011版)[J].中华血液学杂志,2011,32(12):885-886.

