-
急性早幼粒细胞白血病可以用砒霜治愈,“以毒攻毒”!是真的吗?
急性早幼粒细胞白血病(APL) 众所周知,砒霜是一种剧毒药物,学名叫三氧化二砷。在《水浒传》中潘金莲用它毒死了武大郎;在各种宫斗剧中它常常被用来“杀人灭口”。但是你知道吗,在今天的临床研究中,砒霜已经被应用于急性早幼粒细胞白血病的治疗,大大改善了患者的预后,并且成为我国自主发明、世界首创的治疗急性早幼粒细胞白血病的特效药物。 今天,我们从认识急性早幼粒细胞白血病(APL)开始,来了解一下“砒霜… -
凝血知多少‖急性早幼粒细胞白血病(APL)出血之因
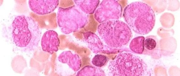
急性早幼粒细胞白血病占急性髓性白血病的19%,其三大特征中包含了出血。APL出血表现包括皮肤和黏膜出血、咯血、血尿、阴道出血、消化道出血、肺和颅内出血。严重广泛的出血,特别是颅内出血是导致患者早期死亡的重要原因。引发出血的病理机制主要是DIC和纤溶亢进。 图1.原创图片,引用请注明出处。 纤溶系统的调控 纤溶酶原,奔赴何方 图2.原创图片,引用请注明出处。 如图2所示,在循… -
CSH 2020 | 陈竺院士:急性早幼粒细胞白血病发病原理、分型和治疗的最新认识
APL,也称为急性髓细胞白血病M3型(AML-M3),占所有AML病例的10%,其首要特征是98%含有t(15;17)染色体易位及PML/RARα融合基因。由于早期出血风险大、死亡率高,该病曾被认为是最为凶险的白血病之一。自 1988 年全反式维甲酸(ATRA)引入以来,化疗、ATRA、砷剂(ATO)已经成为 APL治疗最常见的一线药物。上海瑞金医院从2001年起,形成了以ATRA+… -
认识急性早幼粒细胞白血病
上一篇我们对急性髓系白血病(AML)有了初步的认知,今天我们来聊一聊它的分型之一——急性早幼粒细胞白血病(APL)。1APL的概况急性早幼粒细胞白血病(APL)是急性髓系白血病(AML)中的一种特殊类型, 形态学上属于FAB(法国、美国和英国)分型中的AML-M3亚型,这是唯一一个白血病细胞出现在早幼粒细胞阶段的AML亚型。APL具有的特征是17号染色体上维A酸受体α(RARα)和15号染色体上的… -
以“毒”为药?——关于急性早幼粒细胞白血病
以“毒”为药? 关于急性早幼粒细胞白血病 关于M3 急性早幼粒细胞白血病(APL)是急性髓系白血病的一种,其临床表现异常凶险,容易发生出血危及生命,因此需要及时诊疗。但APL也是目前唯一不用进行造血干细胞移植就可以治愈的白血病。今天,嘉兴第二医院血液科就来带大家了解这一特殊的白血病。 01 确认诊断 去年,嘉兴的王先生(化名)因牙龈出血、口腔黏膜出血点10余天至当地卫生院就诊…
❯
个人中心
购物车
优惠劵
今日签到
搜索
扫码打开当前页
返回顶部
幸运之星正在降临...
点击领取今天的签到奖励!
恭喜!您今天获得了{{mission.data.mission.credit}}积分
我的优惠劵
-
¥优惠劵使用时效:无法使用使用时效:
之前
使用时效:永久有效优惠劵ID:×
没有优惠劵可用!






