
骨髓增殖性肿瘤(MPN)是一组克隆性造血干细胞疾病,发病可能为骨髓多能干细胞在向不同方向细胞分化过程中,受不明原因刺激而产生的失控性、持续性增殖病变。同时均有不同程度累及其他造血细胞的表现,往往表现为由一系或多系骨髓细胞不断的增生(粒系、红系、巨核系和肥大细胞系),并伴有肝脾肿大的髓外造血,以及有出血、血栓倾向的一类恶性增殖性疾病。经典型MPN包括慢性粒细胞白血病(CML)、原发性血小板增多症(ET)、真性红细胞增多症(PV)与原发性骨髓纤维化(PMF)。其中后三类疾病为Ph染色体阴性,多数病人可见JAK2基因的点突变,各病之间可共同存在或相互转化,最终进展为骨髓衰竭或转为急性白血病。
本期,上海交通大学附属第六人民医院常春康教授对《真性红细胞增多症的最新进展》做详细解读。

初次就诊的患者,需要排除MPN,按照NCCN指南,从2006年开始JAK2 V617F为代表的基因检测,需要注意的是:也要排除其他一些继发的疾病,比如肿瘤。若骨髓纤维化伴高危因素,还需做好HLA配型。MPN主要包括PV、ET 和PMF,严格来讲CML也属于MPN疾病。
•病史及相关体检报告,包括触诊脾脏大小、血栓/出血事件评估和心血管风险因素。
•尿酸、乳酸脱氢酶(LDH)和肝功能(LFTs)。
•采用多重RT-PCR技术(首选)或FISH(如果RT-PCR不可用)检测融合基因BCR-ABL1,以排除CML的诊断;如果BCR-ABL1阳性,则判定为CML或CML/MPN, 参见NCCN慢性髓系白血病指南。
•基因JAK2 V617F突变检测;如果阴性,则检测CALR和MPL突变(对于ET和MF患者)和JAK2外显子12突变(对于PV患者)或包括JAK2、CALR和MPL的多基因二代基因分子检测。
•使用MPN症状评估表总症状评分来评估症状负担(MPN-SAF TSS;MPN-10;MPN-E 2/2)。
•人类白细胞抗原(HLA)检测,如果考虑异基因造血细胞移植(HCT)。
•凝血试验,评估特定患者的获得性血管性血友病(VWD)和/或其他凝血疾病(接受高危手术的患者和血小板计数升高和/或脾肿大或原因不明的出血的患者)。
•凝血酶原时间(PT)、部分凝血活酶时间(PTT)、纤维蛋白原。
•血浆血管性血友病因子抗原(VWFA)。
•血管性血友病性假丝酵素辅因子(VWF:RCo)活性。血管性血友病因子(VWF)抗原、因子VIII活性和VWF多聚体在某些情况下可能有用。
从形态学到分子生物学进展及病程的变化,可以看到PV、ET的转归。在此过程中将骨髓纤维化分出pre-PMF,就是目的是为了对MF进行早期诊断和干预。
与以往只能应用羟基脲和干扰素的年代不同,如今芦可替尼等一批新药问世,使MPN的治疗有了更多选择,随着疾病认知体系的逐渐完善,对病人进行慢病管理则显得尤为重要。

MPN的重叠特征
首先应询问红细胞增多症家族史,在检测JAK之类基因突变的同时需要询问红细胞增多症家族史以及排除CML。
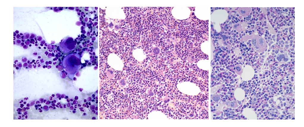
骨髓活检是“王牌”,良好的骨髓活检对于鉴别诊断Pre-PMF、ET、PV和PMF非常重要,而不能仅靠血红蛋白、血小板计数和脾脏肿大等表现来鉴别。
近几年随着分子生物学在肿瘤疾病中的广泛应用,使得MPN尤其MF诊疗方面有了很多进展,给患者带来了更清晰的诊断分析,包括精准的处理和较好的长期疗效期待。

ET,PV和PMF的形态学、分子生物学以及基因突变的发生率均有差别。
三种疾病中,PV发生JAK2突变的概率最高,JAK2 Exon 12突变在PV中也有出现,CALR和MPL突变在PV中发生的概率很小。
JAK2、MPL和CALR的突变终将导致JAK/STAT信号通路的异常活化。
长期抑制JAK/STAT信号通路是否会对病人造成一些不利后果?针对在芦可替尼使用过程中产生的这一疑惑,后续还将与英国方面的专家再次进行学术交流。目前有很多无解的疑问,仅从短期脾脏缩小的疗效判断最终是否能有总生存期(OS)的获益,这一点将非常值得观察。

以往仅从形态学观察,如今看来分子生物学的特征对于高危因素的筛查以及这一大类疾病的转归影响非常重要。很多患者之所以总生存期不同,目前来看要从基因的衍进过程中寻找原因。此外,这其中还存在并发症的影响,比如心梗,脑梗等,导致患者瘫痪甚至死亡,所以慢病管理也十分重要。
PV合并MF,骨髓活检时发现初期骨髓纤维化高达20% ,可能提示尽快进展至明显骨髓纤维化(PPV-MF)。目前从分子生物学这个维度可以解释很多疾病的问题,比如慢性粒细胞白血病(CML)中的伊马替尼之所以出现耐药,实际并不是因为出现了突变,而可能发病时就是不一样的突变。现在基因检测越来越广泛,对疾病本质的认识和以往相比会有明显的差异,这也是在门诊中常和患者强调分子生物学和染色体核型的异常重要性的原因。

PV疾病病程的变化
要点总结:真性红细胞增多症(PV)的WHO诊断标准
1、血红蛋白>165g/L(男)、>160g/L(女);或红细胞压积(HCT)>49%(男)、>48%(女);或红细胞容积(RCM)增加(>平均正常预测值25%)。
2、骨髓活检显示与患者年龄不符的三系增生(全骨髓增生,包括主要为红系、粒系增生和多形性、大小不等的成熟的巨核细胞增殖。
3、存在JAK2V617F或JAK2外显子12突变。
诊断需满足所有3条主要标准,或符合第1、2条主要标准和次要标准。
骨髓活检中可看到巨核细胞的形态异常及增生度,与ET、MF有明显的差异。

要点总结:真红后骨髓纤维化(PPV–MF)诊断标准

常春康教授与我们分享了骨髓增殖性肿瘤(MPN)的概况以及真性红细胞增多症(PV)的诊断流程、病程的变化及转化等内容,希望对病友及家庭有所帮助。下期,我们将延续本期内容,与您共同分享治疗方案及最新进展。希望您通过专业医生指导,接受规范治疗,早日恢复健康!
声明丨本文中涉及的内容信息仅用作疾病知识参考和学习,如需获得治疗方案指导,请前往正规医院就诊!
如果大家想进一步咨询和交流骨髓增殖性肿瘤(MPN)相关问题,可以长按左边二维码加入我们的病友群。

点击阅读原文
如果大家想进一步交流血液疾病的相关问题,可以微信扫一扫下图二维码,加入我们的病友群。申请好友时请备注疾病类型。
