引言:
这个问题大家问的还不算少,好些家长说孩子生病了,开始时查血提示白细胞高、中性粒细胞高。
但是过了几天,复查说是病毒感染,中性粒细胞又低了,这时会导致孩子容易再次感染,得用升高粒细胞的药物,这个说法对吗?
好,今天咱们就说说吧。
简单粗暴版
平时健康(免疫力正常)的孩子,在一次感冒发热时,即使出现中性粒细胞数目为0,因其感染的机会也不增加。
如果不放心,可以孩子病好了2周后,复查下血常规,看起是否升高。
对于大部分的中性粒细胞减少症,都不用使用升高粒细胞的药物,口服的没用,注射用的有用,但一般也用不上。
目 录
- 
什么是中性粒细胞减少呢?
 - 
中性粒细胞减少就会导致容易生病吗?
 - 
为什么正常孩子中性粒细胞降低,不会导致感染风险增高?
 - 
怎么判断骨髓制造中性粒细胞功能降低呢?
 - 
最常见的中性粒细胞减少的原因-病毒感染
 - 
细菌感染也能导致中性粒细胞减少吗?
 - 
细菌感染时,出现中性粒细胞和白细胞降低,就是严重表现吗?
 - 
其他导致中性粒细胞减少的原因
 - 
孩子生病后中性粒细胞减少,怎么办?需要复查吗?
 - 
什么时候需要用药升高粒细胞?
 
一什么是中性粒细胞减少呢?
大家看孩子们血常规时,经常发现中性粒细胞有升高、有降低的。
升高还好说,因为中性粒细胞是白细胞的一种,能用来消灭病原(细菌、病毒)的。当身体发现病原进入体内后,为了消灭这些病原,就会将白细胞大量的生成。

那为啥中性粒细胞还会降低呢?是被病原干掉了吗?哈哈,咱们先说中性粒细胞降低的定义:
对于新生儿和婴儿(1岁内)[1],目前认为中性粒细胞计数(ANC)<1000 /μL(<1.0×10^9/L)是中性粒细胞减少症。
对于1岁以上而儿童和成人[2],中性粒细胞计数(ANC)<1500 /μL(<1.5×10^9/L)是中性粒细胞减少症,并且中性粒细胞计数在1000-1500/μL为轻度减少,500-1000/μL中度,<500/μL重度,<200/μL极重度。
二中性粒细胞减少就会导致容易生病吗?
因为中性粒细胞是免疫防护的重要组成部分,是消灭细菌的一个主力军,所以当其降低明显时,会导致感染的风险提高。
目前研究发现,当中性粒细胞计数降低,但在1000/μL以上时,没有明显感染风险;当其在500/μL-1000/μL时,有感染风险;当其在200/μL-500/μL,有明显的感染风险;当其小于200/μ,有极高的感染风险。

但是大家看到这里,不要害怕,因为对于平时健康(免疫力正常)的孩子,在一次感冒发热时,即使出现中性粒细胞数目为0,感染的机会也不增加。
三为什么正常孩子中性粒细胞降低,不会导致感染风险增高?
因为血常规里面的中性粒细胞,是抽血外周血检查的,而仅约3%的中性粒细胞位于外周血中,绝大多数中性粒细胞在骨髓储存池内。
所以,血常规中的中性粒细胞计数,不能显示出身体免疫系统抵抗细菌感染的能力。
当细菌进入感染部位时,即使外周血的中性粒细胞数量极少,即使为0,但是能很快的从骨髓运输到感染部位,消灭病菌,那就不会因为中性粒细胞的问题,导致感染几率增加。

上图中性粒细胞在吞噬葡萄球菌
临床研究已经发现,对于健康的中性粒细胞减少的孩子,其感染严重细菌感染的几率,和中性粒细胞正常的孩子,是一样的[3]。
而当真的处于骨髓制造中性粒细胞功能降低时,这时外周血中性粒细胞数量再少,那肯定就容易导致感染风险增加了。
四怎么判断骨髓制造中性粒细胞功能降低呢?
在查血提示中性粒细胞降低时,怎么判断骨髓中数量也低,或者制造功能不行了呢?
最准确的办法当然是骨髓穿刺,抽液直接显微镜下看。但是大部分患儿不需要这样的检查,可以简单通过临床症状分析下。

- 
如果孩子之前一直健康,就这次感冒发热了,也很快恢复正常了,那不用考虑这个问题。
 - 
如果孩子局部皮肤粘膜感染后,出现化脓表现,比如皮肤感染处有脓包,扁桃体化脓,有脓涕、浓痰,提示中性粒细胞能进入感染部位,说明骨髓没问题。
为啥这么说呢?因为黄绿色的脓液,就是中性粒细胞的颜色和其酶活化的颜色啊。
 - 
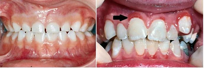
如果排除血管炎后,中性粒细胞减少患者出现了黏膜溃疡(尤其是没有渗出时)和重度牙龈炎,要考虑骨髓问题。
上图左侧是正常牙龈,右侧黑色箭头处是牙龈炎 图片来自参考文献[4]如果是以上问题(牙龈牙、溃疡)反复出现,不容易恢复正常,同时中性粒细胞长期不升,需要进行骨髓检查。
 - 
中性粒细胞减少患者,出现腹痛表现,也要考虑骨髓问题,腹痛提示可能出现了肠粘膜溃疡,是肠细菌进入的危险入口。
但这个大家不要慌,如果孩子就是腹泻疾病,出现腹痛完全正常,感冒时,出现腹痛,也完全常见,不要考虑骨髓出问题了。
 
五最常见的中性粒细胞减少的原因-病毒感染
病原感染后继发的中性粒细胞减少是最常见的原因,这里面,病毒感染导致的更常见。
感染中最常见的是大家熟悉的呼吸道合胞病毒、流感病毒、导致幼儿急疹的人疱疹病毒6型(HHV-6)[5]。

孩子感染这些病毒时,多在生病后的几天内出现中性粒细胞减少,持续1周左右恢复正常。这些病毒导致的中性粒细胞减少通常不会太严重,轻-中度多见。
病毒感染后,可以通过抑制骨髓、将中性粒细胞再分布、隔离和聚集以及被循环抗体破坏的方式导致该问题。
比如,EB病毒能形成中性粒细胞抗体,结合中性粒细胞后,被吞噬掉,导致中性粒细胞减少。
除了以上病毒,其他比如各种导致皮疹的麻疹、风疹病毒;肝炎病毒;巨细胞病毒等,都能导致病程中的中性粒细胞降低。

上图是麻疹
以上这个原因,是大家最长见到的,尤其是呼吸道合胞病毒、流感病毒、人疱疹病毒6型、麻疹、风疹病毒、EB病毒。
但是出现这些疾病后,基本都有典型症状,比较容易诊断,并且多能自行恢复正常,所以,在这些疾病时出现的中性粒细胞减少,大家就不用担心了,等自行恢复就行了。
六细菌感染也能导致中性粒细胞减少吗?
会啊,上面都说了。
那咱们不是都知道,细菌感染时,白细胞和中性粒细胞是升高的吗?升高了好去杀灭细菌去,为啥还会降低?
这个想法是正确的,大部分细菌感染时,是以上表现,但是有特殊的啊,比如导致发热、腹泻的伤寒、志贺菌等。

这些细菌会通过产生的炎性介质,将中性粒细胞黏在血管壁上,或者产生吞噬血细胞的现象,减少中性粒细胞的生成,从而导致外周血出现该问题。
但是这些问题家长们基本见不到,所以就不用记忆了。
还有些严重感染的情况下,身体衰弱到没法有效的提供免疫,也就是没法多生产白细胞、中性粒细胞,不能有效将其运输到感染部位,导致血常规提示中性粒细胞减少,提示病情更重。
七细菌感染时,出现中性粒细胞和白细胞降低,就是严重表现吗?
要结合症状判断,如果孩子生命体征稳定(体温、呼吸、脉搏、血压),就有些腹泻等表现,精神不是很好,那问题不大。
但是如果孩子出现生命体征不稳定,比如呼吸急促,血压不稳,血氧下降等问题,再出现中性粒细胞和白细胞降低明显表现,提示有脓毒症,这提示非常严重。
八其他导致中性粒细胞减少的原因
只要导致骨髓中性粒细胞生成减少,生成的粒细胞没有效果,转移至血管内皮或组织池中的中性粒细胞少,或者外周中性粒细胞破坏增多,都能导致这个问题。
- 
导致以上问题的原因有使用一些药物,比如氯氮平之类的;
 - 
还有严重营养不良,缺乏维生素B12、叶酸、铜,导致骨髓制造中性粒细胞减少;
 - 
还有一些免疫性疾病,脾功能亢进等,导致中性粒细胞破坏增多,都可以导致该问题。
 - 
还有就是骨髓有异常,或者先天性中性粒细胞减少(congenital neutropenia, CN),和骨髓发育异常有关。
 
但这些问题,一般都有比较典型的症状,并且是大家很难遇到的,所以咱们不多讲了。
九孩子生病后中性粒细胞减少,怎么办?需要复查吗?
这个可能是大家最关注的问题,其实这种很简单。
对于这种平时粒细胞完全正常,只是感冒发烧等问题后,才有的减少,反正也不影响孩子免疫功能,不用做什么处理,进行血常规的检测就行了,如下图所示(最右边那个)。

点击看大图
如果孩子疾病的症状逐渐好转,你还是担心,在2周后复查一下,正常了就不用管了,大部分情况都属于这个表现。
上面表格还提示进行血沉检查,这样肯定更全面,但是实际中不查也不会耽误疾病。
如果上升但还没有正常,可以2-3周后再复查一次,以此方式,直到正常。
如果继续下降,或者伴有其他血常规异常或者症状异常,进行详细的评估。
当然如果之前确诊了中性粒细胞减少症,并且是骨髓功能问题导致的,出现感染时,需要特别注意哦。
十什么时候需要用药升高粒细胞?
大家可能会问到,要不要使用升白细胞(粒细胞是白细胞的一种)的药物,将其升起来。
这就涉及2个问题,第一是否必要,第二是否有效。
第一条上,因为感染引起的中性粒细胞减少时,不会影响继发感染的风险。并且因为药物的作用也是升高骨髓制造的能力的,而这时骨髓制造中性粒细胞的能力是正常的,所以,没有必要使用药物。

第二条上,口服的白细胞的药物,目前没有明确证据证明能升高粒细胞或者白细胞,在国内外教科书或者权威资料中,没有提到使用口服的升白药物,用了可能也白用。
如果孩子确实是重度的中性粒细胞减少症,并且是因为先天性中性粒细胞减少症(骨髓功能问题),周期性中性粒细胞减少(骨髓抑制)和艾滋病患者(自身免疫、药物副作用)时,可以使用升高粒细胞的药物。
但是这个药物是重组粒细胞集落刺激因子(G-CSF),这是一种注射液,不是口服药物。
所以,你知道了吧?
– 参考文献 –
[1].Maheshwari A. Neutropenia in the newborn. Curr Opin Hematol. 2014;21(1):43-49. doi:10.1097/MOH.0000000000000010
[2].Thomas D Coates.Overview of neutropenia in children and adolescents.uptodate.2019.
[3].Barg AA, Kozer E, Mordish Y, Lazarovitch T, Kventsel I, Goldman M. The Risk of Serious Bacterial Infection in Neutropenic Immunocompetent Febrile Children. J Pediatr Hematol Oncol. 2015 Aug;37(6):e347-51. doi: 10.1097/MPH.0000000000000345. PMID: 25929615.
[4].Ann Griffen, DDS.Gingivitis and periodontitis in children and adolescents.uptodate.2020.
[5].Thomas D Coates.Infectious causes of neutropenia.uptodate.2020.


