病例分享 | IST联合rhTPO治疗“极重型”再生障碍性贫血,真实病例分享,速来!
2017年9月,21岁的小张(化名)毫无预兆地发起了高烧,体温飙到39℃,喉咙剧痛、咳痰、头晕、浑身没劲儿。更吓人的是,他的左上臂出现了一片不规则的青紫色瘀斑!
当地医院一查血,结果令人心惊:白细胞、红细胞、血小板全线“告急”,尤其是血小板,低至危险无比的6×109/L(正常值100-300×109/L),这意味着一个小伤口都可能引发生命危险!初步怀疑是“再生障碍性贫血”,小张被紧急转入了血液科。
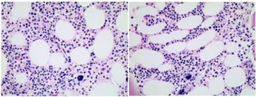
骨髓造血几乎“停摆”[1]
- 血常规:白细胞1.92×10⁹/L(极低),中性粒细胞0.03×10⁹/L(几乎为零,无法抵抗感染),血红蛋白91g/L(贫血),血小板6×10⁹/L(严重出血风险)。
- 骨髓穿刺+活检:结果更令人揪心——骨髓增生极度低下,造血面积仅剩20%(正常年轻人在80%左右),几乎找不到造血细胞,尤其是巨核细胞(生产血小板的“工厂”)踪影全无。脂肪组织占据了大部分骨髓空间。

骨髓活检
医生排除了其他可能导致全血细胞减少的疾病(如骨髓增生异常综合征、阵发性睡眠性血红蛋白尿症、急性造血功能停滞等)。
最终,小张被确诊为最凶险的类型——极重型再生障碍性贫血(VSAA)。这是一种骨髓造血功能严重衰竭的疾病,进展迅猛,如不及时有效治疗,极易因严重感染或大出血而死亡。
移植还是药物治疗?
- 小张与其生母是HLA半相合(不完全匹配)。
- 继父和继妹无血缘关系,配型不符。
- 在骨髓库中也未找到全相合的非亲缘供者。
移植这条路暂时走不通了!怎么办?
强力“唤醒”骨髓
基础IST:
- 抗胸腺细胞球蛋白(ATG):强力抑制“捣乱”的T淋巴细胞(11月17日起,225mg/天,静脉点滴,连用5天)。
- 环孢素:持续抑制异常免疫(9月28日起,125mg,每日2次口服,维持血药浓度)。
- 司坦唑醇:刺激造血(9月28日起,2mg,每日3次口服)。
关键“助攻”—rhTPO:直接刺激巨核细胞生长和血小板生成(与ATG同步,11月17日起,15000IU/天,皮下注射,连用14天)。
支持治疗:在治疗初期血细胞极低时,根据情况及时输注红细胞和血小板,并使用粒细胞集落刺激因子(G-CSF)提升中性粒细胞。
“逆袭”时间线
- 脱离红细胞输注:IST后4周(2017年12月21日),血红蛋白开始稳步回升,不再需要输血!
- 脱离血小板输注:IST后9周(2018年1月24日),血小板计数度过最低谷,开始持续上升,摆脱了血小板输注依赖!
稳步恢复:
IST+rhTPO后1年4个月,血红蛋白>100g/L(达到安全水平)。
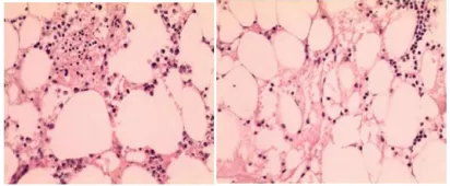
IST+rhTPO后2年半(2020年4月29日末次随访),血常规基本恢复正常:
中性粒细胞3.41×109/L(正常!)
血红蛋白138g/L(正常!)
血小板110×109/L(正常!)

骨髓活检
医生评估治疗效果为基本治愈!小张持续规律服用环孢素和司坦唑醇,已经恢复了正常生活。计划在服药满3年且指标稳定后,再考虑缓慢减药。
当然,长期规律服药和密切随访(警惕潜在的克隆演变风险)至关重要。这个成功案例强调,在专业医生指导下制定个体化方案,是重获新生的关键。
参考文献:
[1] 孔黛. IST联合rhTPO治疗极重型再生障碍性贫血1例分析[J]. 中国临床案例成果数据库,2022,04(01):E06197-E06197.
[2] 付蓉. 再生障碍性贫血诊断与治疗中国专家共识(2017年版)[J]. 中华血液学杂志,2017,38(1):1-5
扫码加入再障病友群
申请好友时请备注疾病类型
咨询和交流再生障碍性贫血(AA)相关问题



