泛癌种精准疗法:新一代NTRK抑制剂佐来曲替尼的临床数据与应
NTRK融合基因可以在多种肿瘤类型的成人和儿童患者中发现,尽管在常见癌症(如肺癌、乳腺癌、胃癌、甲状腺癌等)中的发生率相对较低,低于5%,但在一些罕见的癌症中,如婴儿纤维肉瘤、分泌性乳腺癌、先天性中胚层肾瘤等,NTRK融合发生率可达90%以上[1]。

在2025年12月11日,TRK抑制剂(佐来曲替尼)获得中国国家药品监督管理局(NMPA)批准,用于治疗携带NTRK融合基因的成人和12岁以上青少年实体瘤患者[9]。

近日在全国多个省市医院开出首批处方,包括中山大学肿瘤防治中心、复旦大学附属肿瘤医院、首都医科大学附属北京同仁医院等等,标志着这款创新药在中国正式进入临床应用阶段[7]。
注册研究显示,佐来曲替尼在NTRK融合阳性实体瘤中展现出卓越疗效[7]:总缓解率(ORR)达89.1%,而其中青少年患者的ORR更是达到了100%;疾病控制率(DCR)96.4%,表明几乎所有患者病情均得到有效控制;24个月无进展生存率(PFS)77.4%,总生存率(OS)90.8%,证实了该药能帮助绝大多数患者实现长期缓解。



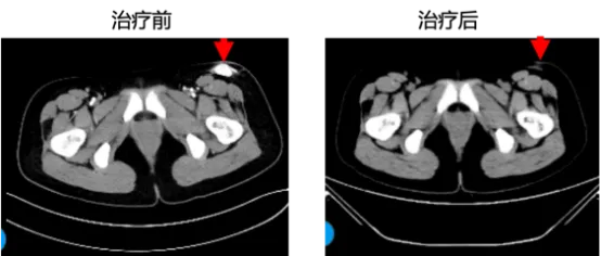
图2:8mg剂量组NTRK融合且既往未接受过TRK抑制剂治疗患者,左大腿梭形细胞肿瘤,TPM3-NTRK1融合,手术切除+化疗后进展,口服ICP-723(8mg)治疗一个周期后,首次肿瘤疗效评估为PR,靶病灶缩小37%,疗效在第二周期治疗后得以确认,目前患者正接受第11周期的治疗,疗效呈维持状态。


参考文献:
1.齐长松,董坤,袁家佳等.NTRK基因融合的检测及TRK抑制剂研究进展[J].肿瘤综合治疗电子杂志 2022 年第 8 卷第 2 期:113-121.
2. 《国家基本医疗保险、工伤保险和生育保险药品目录(2024年)》.
3.湘医保小程序.
4.A. Drilon, L. Shen, C. van Tilburg,et al.668P – Efficacy and safety of larotrectinib in a pooled analysis of patients (Pts) with tropomyosin receptor kinase (TRK) fusion cancer.[J].2023 ESMO.
5.S. Lu, F.G.M. De Braud, Y. Fan,et al.666P – Updated efficacy and safety data of entrectinib in patients (pts) with locally advanced/metastatic NTRK fusion-positive (fp) solid tumours .2023ESMO.
6.FDA grants accelerated approval to repotrectinib for adult and pediatric patients with NTRK gene fusion-positive solid tumors.
7.广谱抗癌药佐来曲替尼首批处方落地 NTRK融合阳性实体瘤患者迎来新希望,诺诚健华官方微信公众号,文章发布于2026年1月9日.
8.《Nature》子刊:第二代TRK抑制剂Zurletrectinib克服第一代TRK抑制剂获得性耐药,诺诚健华官方微信公众号,文章发布于2024年7月31日.
9.中国首款自主研发的新一代TRK抑制剂宜诺欣®(佐来曲替尼)获批上市,诺诚健华官方微信公众号,文章发布于2025年12月11日.
10.国家药品监督管理局药品审评中心(CDE)官网.
11.第二代TRK抑制剂ICP-723治疗青少年患者展示出良好的疗效和安全性,中山大学肿瘤防治中心儿童肿瘤科微信公众号,文章发布于2024年03月28日。
扫码加入肉瘤病友群
申请好友时请备注疾病类型
咨询和交流肉瘤(sarcoma)相关问题


