原发性血小板增多症是一种骨髓增殖性疾病,常导致动脉血栓形成。原发性血小板增多症合并急性心肌梗死和主动脉血栓形成极为罕见,因此通常难以获得明确诊断。然而,这种情况常常有致命危险,因此需要紧急治疗。对于这种情况尽管常用抗血栓药和羟基脲治疗,但目前还没有标准的治疗策略。
近期,Front Cardiovasc Med杂志发表了一例由于原发性血小板增多症形成主动脉壁血栓形成合并急性前壁心肌梗死,经PCI联合药物治疗使患者成功获得救治的病例。一起来看看吧。
病例简介
54岁女性,因腹痛3小时入院,体格检查无显著异常,生命体征稳定。
患者体重51kg。
化验结果示:
血小板计数为494 * 10^9/L (正常范围为100-300 * 10^9/L)。
肌钙蛋白I 0.132 ng/ml (正常范围为0-0.034 ng/ml),
D- 二聚体8μg/ml (正常范围为0-0.5 μg/ml)。
12导联心电图显示 V1-V3导联ST 段抬高(图1A)。

图1:12导联心电图:(A)入院时;
诊断为急性前壁心肌梗死,转入导管室进行急诊冠状动脉造影,示左前降支近端完全闭塞伴血栓(图2)。血栓抽吸后行血管成形术,置入了一枚药物洗脱支架(3 × 18mm)。患者在PCI期间接受普通肝素(6,000 IU)治疗,并给予双联抗血小板治疗【阿司匹林(100 mg/天)和氯吡格雷(75 mg/天)】。

图2:急诊冠状动脉造影和PCI:(A)右冠状动脉;(B)左冠状动脉:(C)血栓抽吸术后;(D)置入支架后。
PCI术后,患者仍反复述说有腹痛。
实验室检查:
血小板计数为679 × 10^9/L,肌钙蛋白I 42.1 ng/ml,D 二聚体6.5 μg/ml。
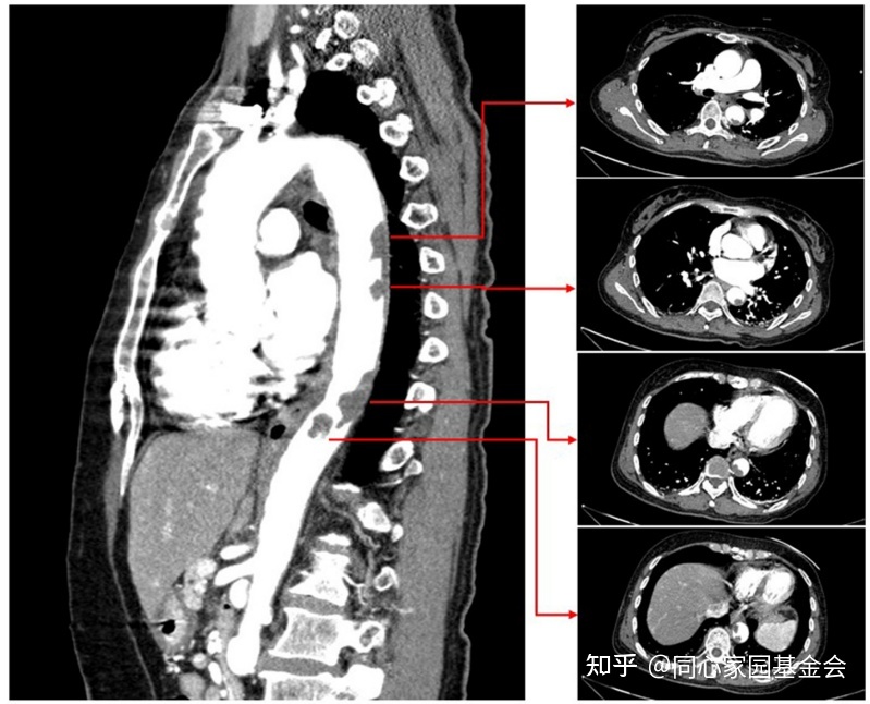
CTA显示降主动脉有大量附壁血栓(图3)。开始给予依诺肝素(8000 IU/天)。
由于血小板计数显著升高,因此进行了骨髓活检和JAK2V617F检测(原发性血小板增多症中最常见的基因突变)。

图3:CTA显示巨大的降主动脉壁血栓。
检测结果符合原发性血小板增多症的诊断。
患者否认有骨髓增殖性疾病的家族史。治疗药物改为羟基脲(1000mg/天)、依诺肝素(8000 IU/天,阿司匹林(100mg/天)和氯吡格雷(75mg/天)。
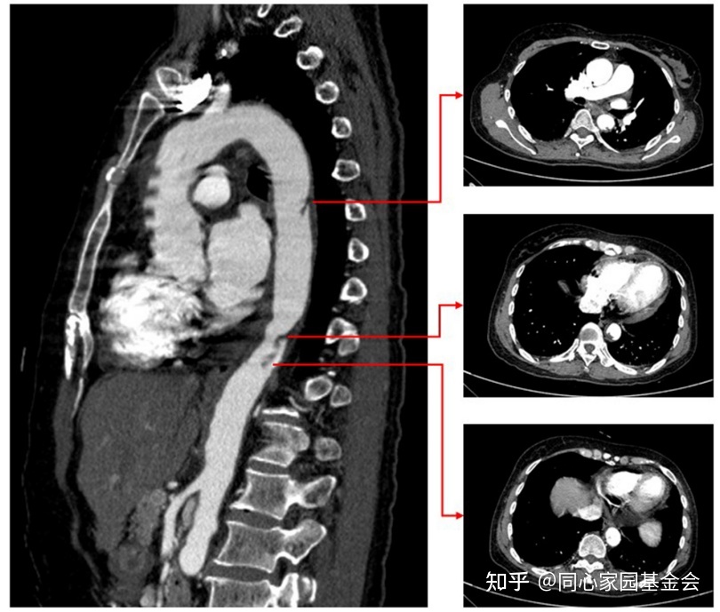
抗凝治疗10天后,CTA复查显示主动脉壁血栓明显变小(图4)。

图4:复查CTA 显示主动脉壁血栓显著变小。
实验室检查:
血小板计数为299 × 10^9/L,肌钙蛋白 I 为0.032 ng/ml,D-二聚体为0.25 μg/ml。
由于血栓形成最重要的实验室指D-二聚体已经降到正常范围,认为血栓已经溶解。但是由于经济原因,患者拒绝再次进行CTA检查。
考虑到三重抗凝治疗有较高的出血风险,因此停止了抗凝治疗。
患者临床情况稳定后出院。
出院时服用的药物分别为:羟基脲(1000mg/天)、阿司匹林(100mg/天)和氯吡格雷(75mg/天)。出院时心电图显示 V1-V3导联有Q波,T波倒置(图1B)。

图1:12导联心电图:(B)出院时。
讨论
原发性血小板增多症是一种骨髓增殖性疾病,主要累及巨核细胞系统。其特征是外周血中血小板计数持续升高。主要临床表现为出血或血栓形成。
原发性血小板增多症的年发病率约为0.3%。血栓并发症是主要死因。然而,当血小板水平极度升高(> 1500 × 10^9/L),出血的风险就会增加。
原发性血小板增多症并发急性心肌梗死很罕见,尽管可能与血小板数量增加和血小板聚集有关,但目前其可能的发病机制尚不清楚。据文献记载,尽管右冠状动脉也可能发生阻塞,但左前降支发生阻塞最常见。
目前对于急性心肌梗死合并原发性血小板增多症,尚无标准的治疗策略。
这些患者中,导致冠状动脉阻塞的以血小板血栓为主,冠状动脉可能没有粥样硬化斑块。对未置入支架的患者可以采取血栓抽吸方法进行治疗。
然而,对于血栓抽吸后冠状动脉明显狭窄的患者,应该考虑置入支架。
在本病例中,由于血栓负荷严重和反复血栓抽吸术后仍有严重的血管狭窄,患者进行了血管成形术和置入药物洗脱支架。
由原发性血小板增多症引起的主动脉壁血栓形成较少见。对于治疗原发性血小板增多症相关的主动脉血栓形成,尚没有合适的治疗指南。可选择进行药物治疗或是手术治疗。
原发性血小板增多症的药物治疗包括:抗凝治疗和用羟基脲进行细胞减灭治疗。另一方面,主动脉血栓的外科治疗与高死亡率和发生并发症的高风险相关,包括出血、脑和肠缺血以及急性肾衰竭。本病例的患者因原发性血小板增多症同时合并急性心肌梗死和主动脉血栓形成,由于患者左前降支此前置入了药物洗脱支架,因此需要进行双抗血小板治疗。如果选择急性手术治疗,出血的风险会非常高。因此,最终选择了药物治疗。幸运的是,经过阿司匹林,氯吡格雷,依诺肝素和羟基脲的治疗,患者的病情得以稳定,复查CTA 显示主动脉血栓显著变小。
原发性血小板增多症的主要治疗目标包括预防血栓复发。研究表明,口服抗凝剂联合细胞灭减疗法可能会降低原发性血小板增多症和静脉血栓栓塞症患者血栓复发的风险。然而,对于急性心肌梗死合并主动脉壁血栓形成患者的最佳抗栓策略和疗程尚不明确。基于本案病例经治疗主动脉血栓变小和D-二聚体水平降低,证明三联抗栓治疗是有效的。然而,长期的三联抗栓治疗可能会增加出血风险。因为原发性血小板增多症是一种血小板疾病,因此对于原发性血小板增多症伴有主动脉血栓形成患者,抗血小板治疗可能对于降低其血栓风险更为关键。本案患者出院时,其药物治疗包括:双重抗血小板治疗12个月(阿司匹林,氯吡格雷)和细胞灭减治疗。由于患者因经济原因拒绝再次进行CTA复查,我们要求患者提供血小板计数和D-二聚体水平随访数椐,以监测血栓风险。
来源:
Case Report: A Rare Case of Acute Anterior Myocardial Infarction Simultaneously Associated With Aortic Mural Thrombosis Due to Essential Thrombocytosis. Front Cardiovasc Med. 2022;9:840906. doi: 10.3389/fcvm.2022.840906.


